三胞生物医疗|徐州新健康医院创奇迹 淮海首例高龄A型主动脉夹层+搭桥同期手术成功
发布时间:2025-05-19来源:作者:
浏览:0 打印
字号:大中小
【惊心动魄!84岁老人突发"血管炸弹"】
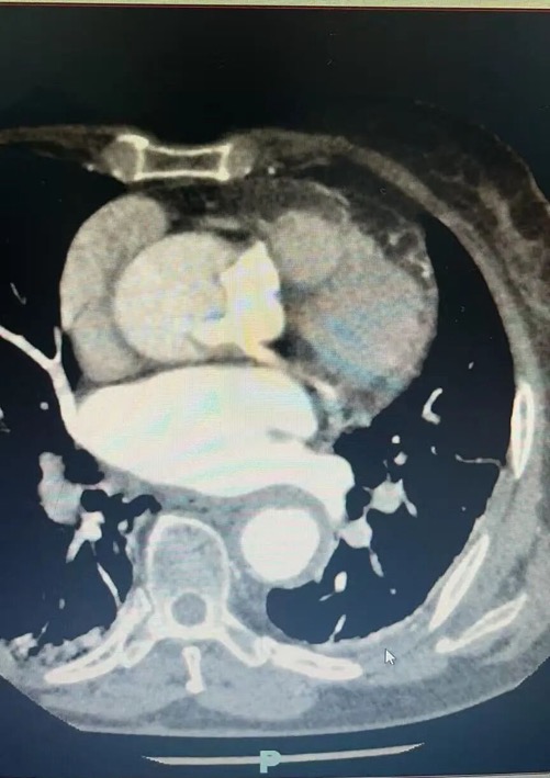
近日,84岁的李奶奶(化名)正在家中休息,突然感到一阵 "撕裂样"的胸背部剧痛,疼痛程度达到难以忍受的10级!家人立即将她送往邳州当地医院,经主动脉CTA检查确诊为 "主动脉夹层A型"——这个被称为"血管炸弹"的急症,死亡率高达每小时1%-2%!
更危急的是,进一步检查发现李奶奶还合并有冠心病(前降支重度狭窄),这意味着她的心脏随时可能因夹层破裂或心肌梗死而停跳。 "必须立即手术,但84岁高龄能否承受?" 带着这个疑问,家属决定转往徐州新健康心血管病医院进行治疗。
【实现医学突破:开展复杂高难度手术】
面对这位高龄的A型夹层合并冠心病患者,徐州新健康心血管病医院立即启动MDT多学科会诊,制定了 "一站式"手术方案,在麻醉科手术室输血科等相关科室配合下急诊行主动脉夹层A型孙氏手术+冠脉搭桥术。
问:什么是A型孙氏手术+冠脉搭桥术?
答:孙氏手术(主动脉全弓置换术):切除病变血管、 植入人工血管重建主动脉、 精细吻合多个重要分支血管 ; 同期冠脉搭桥术:取患者自身血管作为桥血管、绕过狭窄的前降支,重建心脏血供
【术后当天脱机拔管!突破高龄禁区】
1、 术后当天成功脱离呼吸机
2、当天拔除气管插管
3、次日即可床边坐起
问:这意味着什么?
答:手术创伤控制极佳:避免呼吸机相关肺炎等并发症器官保护到位:心、脑、肺等重要脏器功能完好刷新区域记录:开创淮海地区高龄危重心脏手术新标准

徐州新健康心血管病医院专家介绍
诊疗特色:重症心脏外科、瓣膜成形外科、冠心病外科、复杂成人先心病外科等。
获中国医师协会心血管外科金刀奖、全国卫生系统先进工作者,2018年“感动中国”好医生,“感动江苏”年度特别人物、江苏省有突出贡献中青年专家、南京医科大学名医、南京市十大科技之星等荣誉。
